Dental implants are widely regarded as the gold standard for replacing missing teeth—but one of the first questions most patients ask is: how much do dental implants cost in the UK?

Dental implants are widely considered the gold standard for replacing missing teeth—but one of the most common questions patients ask is:
“How much do dental implants cost in the UK?”
The short answer:
The average cost of a single dental implant in the UK ranges from £1,000 to £3,500.
However, here at Harley Private our dental implants start at £1,195 and the true cost at other providers depends on several factors, including your individual case, the clinic you choose, and whether additional procedures are required.
In this guide, we’ll break down everything you need to know—from pricing and what’s included to ways to make treatment more affordable.
On average, UK dental implant costs fall into the following ranges:
At premium clinics in London (such as Harley Street practices), prices may sit toward the higher end due to specialist expertise, advanced technology, and high-quality materials.
When comparing prices, it’s important to understand what you’re actually paying for.
A complete dental implant treatment typically includes:
Important to note: Some clinics advertise low prices but exclude key elements like scans or crowns. Always check what’s included.

Dental implant pricing isn’t fixed because every patient’s case is different. Here are the main factors that influence cost:
Replacing a single tooth is far less expensive than restoring a full arch.
If your jawbone isn’t strong enough, you may need:
Premium implant brands (e.g. Straumann, Nobel Biocare) cost more but offer:
Highly experienced implant dentists or specialists often charge more—but deliver:
Clinics in central London (like Harley Street) typically have higher fees due to:

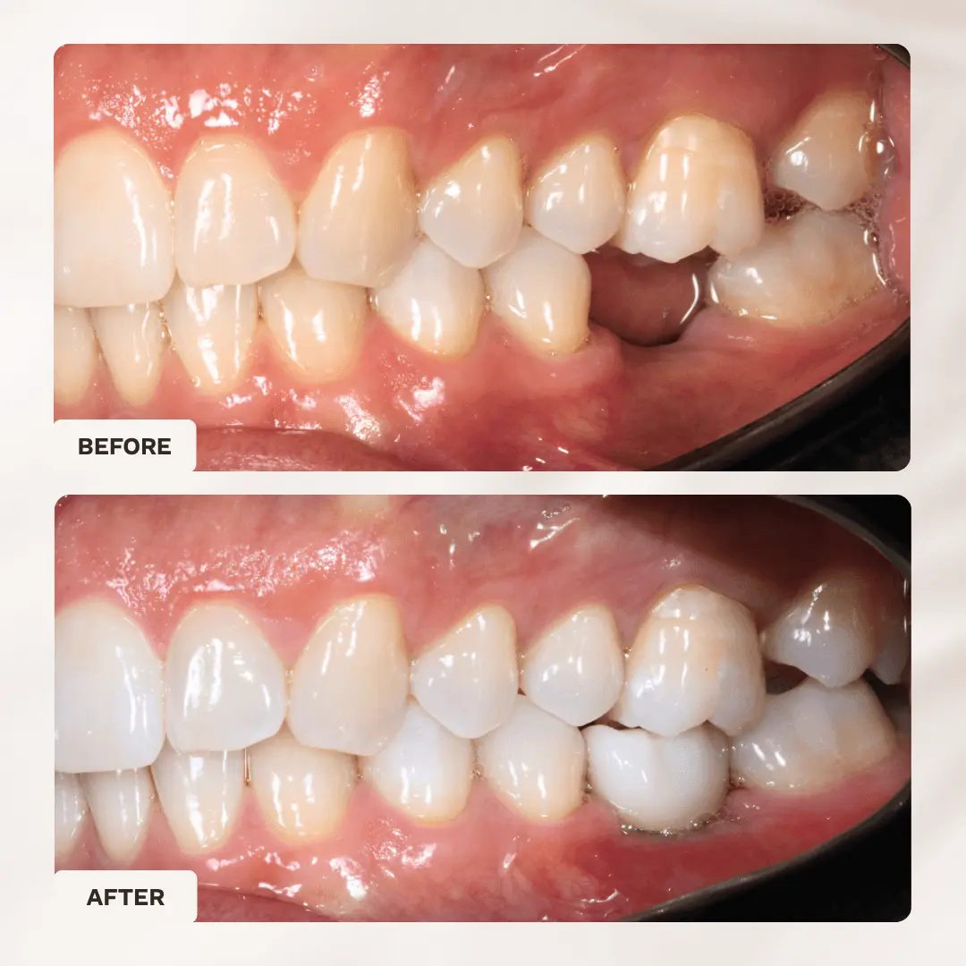
While implants may seem expensive upfront, they are often the most cost-effective long-term solution.
✔ Permanent solution (can last 20+ years)
✔ Look and feel like natural teeth
✔ Prevent bone loss in the jaw
✔ No impact on surrounding teeth (unlike bridges)
✔ Improved confidence and oral health
Compared to dentures or bridges—which may need replacing every 5–10 years—implants can actually save money over time.
When comparing tooth replacement options, costs and longevity can vary significantly. Dental implants typically range from £2,000 to £3,500 and can last 20+ years, offering a permanent and natural-looking solution, though they come with a higher upfront cost. Dental bridges are a more affordable alternative at £800 to £2,000, lasting around 5–15 years, but they often require adjacent healthy teeth to be altered. Dentures are usually the cheapest option, costing between £300 and £2,500 with a lifespan of 5–10 years, although they can feel less stable and less natural. The key takeaway is that while implants have the highest initial cost, they often provide the best long-term value.
In most cases, dental implants are not available on the NHS.
They are only provided in rare situations, such as:
For the majority of patients, implants are considered a private treatment.
If cost is a concern, there are several ways to spread the expense:
Many private clinics offer:
Treatment can often be split into stages, allowing you to pay gradually.
Some clinics offer complimentary consultations or second opinions.
Maintaining good oral health reduces the need for additional procedures (and costs).

One of the biggest advantages of dental implants is durability.
With proper care (brushing, flossing, regular check-ups), implants have a success rate of over 95%.
Transparency is key when choosing a clinic.
Potential additional costs may include:
👉 Always request a full written treatment plan before starting.
When selecting a provider, don’t just compare price—consider:
A reputable clinic will prioritise quality, safety, and long-term results over low-cost shortcuts.
A full set of dental implants typically costs between £9,000 and £30,000 per arch, depending on the technique used (e.g. All-on-4 or All-on-6).
The cheapest dental implants may start from around £995, but these often exclude key components like the crown or scans. Quality and experience should always be prioritised over price.
Dental implants involve:
This makes them more expensive than alternatives—but also more durable and effective.
The procedure is usually performed under local anaesthetic, so patients feel little to no pain during treatment. Mild discomfort afterwards is normal and manageable with pain relief.
The full process typically takes 3 to 6 months, depending on healing time and whether additional procedures are required.
Yes—dental implants are a well-established, safe procedure with a success rate of over 95% when performed by experienced clinicians.
To summarise:
While costs vary, dental implants remain the most reliable and long-lasting solution for replacing missing teeth.